診療案内|武蔵浦和エリアで歯科をお探しの方

診療案内

診療案内

当院で行っている診療

一般歯科

一般歯科

患者様に負担の少ない先進的な治療機器を備え、適した治療方法、わかりやすい説明を行います。虫歯治療や歯周病治療など、痛みの少ない治療を心がけています。
歯の清掃もすべて保険診療です。毎日、歯ブラシをしていても歯垢は一部かたまり歯石となり、歯ブラシでの除去が出来なくなります。
歯石は細菌のかたまり。たまると歯槽のうろうや口臭の原因となります。定期的、少なくとも半年に一度は歯の専門的なクリーニングをお勧めいたします。

※横にスクロールしてご確認ください

制作物 金額(税込)
処置 歯周外科手術(1歯につき) 10,000
診断書作成 3,300

小児歯科

小児歯科

当院の小児科治療は、緊急性がない限りなるべく押さえつけたりせず、ゆっくり行います。
歯科治療に恐怖心の強いお子様には、まずイスに座る練習、治療器具に触って慣れてもらう事から始める事もあり、時には治療の段階まで進めない日もあります。その為、回数がかかることもございますが、徐々に治療に慣れてもらいたいと思います。
また、麻酔が必要な場合は、電動麻酔や表面麻酔を使用し、なるべく痛まないように心がけます。
そして、お子様には歯質を強くする定期的なフッ素塗布をおすすめしています。

※横にスクロールしてご確認ください

制作物 形成・
型取り
本体
(税込)
総額
(税込)
保隙装置 バンドループ 3,000 17,000 20,000
ステフェン装置 5,000 25,000 30,000
小児義歯 5,000 25,000 30,000
リンガルアーチ 5,000 25,000 30,000
ナンス 5,000 25,000 30,000

インプラント

インプラント

歯を喪失した時、人工の歯根を骨内に植え込み、欠損を補い、バランスの取れた咬み合わせを再建する治療です。歯を抜くと、その後にブリッジや取り外しの義歯をするのが一般的な治療でした。
しかし、ブリッジでは、前後の歯を削り犠牲にしています。
義歯では、咬みづらい、違和感がある、使いごこちが悪い、取り外しのわずらわしさ、臭い、かっこ悪いなど、色々問題があります。
しかも欠損部の骨量が減少して、骨の幅(厚み)、高さなどがなくなっていきます。再度つくるブリッジや義歯の適合・安定が、この吸収で益々困難なものとなっていきます。
しかし、インプラントであれば、ブリッジのように隣の歯を削って犠牲にすることが少なく、また、義歯のような数々の不都合も非常に少ないのです。

単独で欠損部のみに植え込んで歯をつくることができます。
まず、植え込む部位のあご骨や歯肉の状態ですが十分な量がないと堅固な安定したインプラントを完成することはできません。
また、口腔内の清掃がきちんとされてないとインプラントは長く持ちません。
インプラントは歯槽膿漏に弱いのです。ですから、日々の手入れや食生活に注意できる方しかおすすめできないのです。
次に、全身疾患のある方、特に糖尿病、腎臓、骨の病気のある方は、要注意です。

※自由診療です。
※治療後もメンテナンスのため定期的にご来院いただく必要があります。
※治療期間 約2~3ヶ月、治療回数 約4~5回
※治療の流れ:歯を失った顎骨にインプラント体を埋入し、顎骨とインプラント体が結合したら人工歯を取りつけます。

インプラント

※横にスクロールしてご確認ください

制作物 形成・型取り 本体(税込) 総額(税込)
インプラント インプラント埋入手術 264,000
上部構造 金属色 10,000 165,000〜220,000 175,000〜230,000
ジルコニア 10,000 187,000 197,000

矯正歯科

矯正歯科

楽しくおしゃべりをしたり、親しい人と食事をしたり、笑ったり…。
人が人らしく生活する上で口が果たす役目や影響力はとても大きなもの。乱れた歯並びは外見への影響はもちろん、体の健康や自分の内面にも大きく影響します。歯並びの矯正は体全体の美と健康の重要なカギ。もう一度自分の口元から見直してみませんか。

※自由診療です。
※治療期間 約6ヶ月~2年、治療回数 約6~24回
※治療の流れ:お口に合わせて適切な矯正装置を装着し、少しずつ歯を動かすことで歯並び・かみ合わせを改善します。


矯正歯科の流れ

  1. 矯正相談

    歯並びについての相談や治療に関する様々な疑問にお答えします。

    矯正相談
  2. 精密検査

    歯並びの状況を詳しく検査します。
    レントゲン写真、歯型、口腔内写真、顔面写真など。

    精密検査
  3. 検査結果の説明

    検査結果をもとに、現在の状況、適切な治療方法、装置の種類、治療期間、費用について説明します。
    患者さんに治療内容をよく理解して頂き、十分にご納得いただいた上で治療をすすめていきます。

    検査結果の説明
  4. 矯正治療開始

    装置は、3~4回に分けて少しずつつけていきます。
    全ての装置が装着された後は、4週間に一度の来院で治療していきます。

    矯正治療開始
  5. 保定期間

    装置を外した後は、歯が動かないように保定装置(取り外し式装置)をつけ、2年くらい経過観察を行います。
    3~6ヶ月に一回の来院になります。

    保定期間

矯正治療に関するQ&A

歯を抜く必要がありますか
当院では、できるだけ歯を抜かない治療を行っていますが、歯と顎のバランスや口元の突出度によっては抜歯が必要になります。
成長期からの小児矯正を行うことで歯を抜かずに治療できる可能性が高くなります。
痛みや不快感はありますか
個人差がありますが、装置のつけ始めや力を調整した後、歯が浮くような違和感や固いものが食べられないなどの感覚がありますが、数日でおさまります。
矯正治療中に虫歯ができたらどうすればいいですか
矯正治療中にも虫歯の治療は可能ですが、場合によっては一時的に装置を取り外すこともあります。治療期間が延長しないためにも普段から歯磨きを念入りにすることが大切です。ブラッシング方法については当院で指導いたします。
分割払いは可能ですか
可能です。分割払いでも金利は一切かかりません。
治療期間にもよりますが、患者さんのご負担も考えて1年~1年半以内に納入していただくようになります。

矯正治療費の目安

矯正治療費・矯正期間は症例や治療方法により大きく異なりますので、コンサルテーション時に詳しくご説明いたします。下記はあくまで一般的な目安として参考にしてください。

※横にスクロールしてご確認ください

小児矯正 第Ⅰ期治療のみ
治療費の総額(目安)
※自費診療
※金額は全て税込
基本矯正料金 385,000円
初診相談 無料
精密検査
(コンサルテーション含)
33,000円
通院毎の管理料 動的治療 1回 5,500円(概ね18回~30回)
保定 1回 5,500円(概ね8回)
第Ⅰ期治療の総額の目安 561,000~627,000円
治療期間(通院頻度) 動的治療 1年半~2年半程度(4~6週間に1回)
保定期間 2年程度(3ヵ月に1回)

※横にスクロールしてご確認ください

第Ⅱ期治療(第Ⅰ期治療から移行した場合)
治療費の総額(目安)
※自費診療
※金額は全て税込
基本矯正料金 440,000円
精密検査
(コンサルテーション含)
33,000円
通院毎の管理料 動的治療 1回 5,500円(概ね18回~24回)
保定 1回 5,500円(概ね8回)
第Ⅱ期治療
(第Ⅰ期治療から移行した場合)
の総額の目安
616,000~649,000円
治療期間(通院頻度) 動的治療 2年程度(4~6週間に1回)
保定期間 2年程度(3ヵ月に1回)

※横にスクロールしてご確認ください

成人矯正
治療費の総額(目安)
※自費診療
※金額は全て税込
基本矯正料金 825,000円
初診相談 無料
精密検査
(コンサルテーション含)
33,000円
通院毎の管理料 動的治療 1回 5,500円(概ね18回~24回)
保定 一回5,500円(概ね8回)
全顎矯正の総額の目安 1,001,000~1,034,000円
治療期間(通院頻度) 動的治療 2年程度(4~6週間に1回)
保定期間 2年程度(3ヵ月に1回)

※横にスクロールしてご確認ください

部分矯正
治療費の総額(目安)
※自費診療
※金額は全て税込
基本矯正料金 165,000~440,000円
初診相談 無料
精密検査
(コンサルテーション含)
22,000円
通院毎の管理料 動的治療 1回 5,500円(概ね6回~12回)
保定 1回 5,500円(概ね8回)
部分矯正の総額の目安 264,000~572,000円
治療期間(通院頻度) 動的治療 半年~1年程度(4~6週間に1回)
保定期間 2年程度(3ヵ月に1回)

矯正歯科治療に伴う一般的な
リスクや副作用について

  • 最初は矯正装置による不快感、痛み等があります。数日間~1、2週間で慣れることが多いです。
  • 歯の動き方には個人差があります。そのため、予想された治療期間が延長する可能性があります。
  • 装置の使用状況、顎間ゴムの使用状況、定期的な通院等、矯正治療には患者さんの協力が非常に重要であり、それらが治療結果や治療期間に影響します。
  • 治療中は、装置が付いているため歯が磨きにくくなります。むし歯や歯周病のリスクが高まりますので、丁寧に磨いたり、定期的なメンテナンスを受けたりすることが重要です。また、歯が動くと隠れていたむし歯が見えるようになることもあります。
  • 歯を動かすことにより歯根が吸収して短くなることがあります。また、歯ぐきがやせて下がることがあります。
  • ごくまれに歯が骨と癒着していて歯が動かないことがあります。
  • ごくまれに歯を動かすことで神経が障害を受けて壊死することがあります。
  • 治療途中に金属等のアレルギー症状が出ることがあります。
  • 治療中に「顎関節で音が鳴る、あごが痛い、口が開けにくい」などの顎関節症状が出ることがあります。
  • 様々な問題により、当初予定した治療計画を変更する可能性があります。
  • 歯の形を修正したり、咬み合わせの微調整を行ったりする可能性があります。
  • 矯正装置を誤飲する可能性があります。
  • 装置を外す時に、エナメル質に微小な亀裂が入る可能性や、かぶせ物(補綴物)の一部が破損する可能性があります。
  • 装置が外れた後、保定装置を指示通り使用しないと後戻りが生じる可能性が高くなります。
  • 装置が外れた後、現在の咬み合わせに合った状態のかぶせ物(補綴物)やむし歯の治療(修復物)などをやりなおす可能性があります。
  • あごの成長発育によりかみ合わせや歯並びが変化する可能性があります。
  • 治療後に親知らずが生えて、凸凹が生じる可能性があります。加齢や歯周病等により歯を支えている骨がやせるとかみ合わせや歯並びが変化することがあります。その場合、再治療等が必要になることがあります。
  • 矯正歯科治療は、一度始めると元の状態に戻すことは難しくなります。

インビザライン

インビザライン

歯並びを整える治療といえば、ワイヤーやブラケットを使った矯正が一般的でした。しかし、金属の装置は目立ちやすく、口の中の違和感や痛み、食事や歯磨きのしにくさといった不便があります。
インビザラインは、透明なマウスピース型装置を使うことで、見た目のストレスや生活の制限を軽減しながら、歯並びを改善できる新しい矯正治療です。

インビザラインの特徴

インビザラインは取り外しが可能で、普段通りに食事や歯磨きができます。また、デジタルシミュレーションで治療のゴールを確認できるのも特徴です。
ただし、歯並びの状態によっては適応外となる場合や、1日20時間以上の装着が必要なため自己管理が欠かせません。また、むし歯や歯周病がある場合は事前の治療も必要です。

インビザラインの特徴
内容 金額(税込)
軽度矯正プラン
(前歯の部分矯正、
後戻り)
330,000円
中程度の矯正プラン
(小範囲の歯が対象)
660,000円
全体矯正プラン
(上下全ての歯が
対象)
990,000円
お子様向け
矯正プラン
(混合歯列期)
550,000円
  • 相談無料
  • 精密検査・診断料:別途33,000円(税込)
  • 調整料(1~3か月に1度):5,500円(税込)
  • 診断結果をもとに、患者様に適切なプランをご提案いたします。

審美歯科

審美歯科

歯並びや歯の色にコンプレックスのある方、美しくバランスのとれた口元にしてみませんか?金属の詰め物や被せ物の代わりに、セラミック等の素材を用いて天然歯のような見た目の白い歯にします。
また白い被せ物により、歯並びの調整をすることもできます。
美しい口元で、自信のある生活をおくりましょう。

  • 自由診療です。
  • 強い衝撃を受けるとセラミックなどの歯科素材は割れたりヒビが入ることがあります。
  • 治療期間 約2週間~1ヵ月、治療回数 約2~3回
  • 治療の流れ:ご希望に合わせてセラミックなどの歯科素材を選び、詰め物・被せ物を製作・装着します。

※横にスクロールしてご確認ください

※価格は全て税込です

制作物 形成・型取り 本体 総額
歯冠修復 詰め物
(インレー)
白色 e-max
透明感があり、汚れが付着しにくい審美的な詰め物です。
5,000 55,000 60,000
ジルコニアインレー
耐久性が非常に高く、汚れが付きにくい素材です。
5,000 66,000 71,000
金属色 ゴールドインレー
20Kの金合金を使った詰め物です。金は生体に優しい歯科素材として知られています。
5,000 66,000 71,000
被せ物
(クラウン)
白色 ホワイトクラウン
外側に陶材、内側に金属を使った歯科素材で作る被せ物です。
10,000 88,000 98,000
e-max
透明感があり、汚れが付着しにくい審美的な被せ物です。
10,000 110,000 120,000
ジルコニアクラウン
耐久性が非常に高く、汚れが付きにくい素材です。
10,000 132,000 142,000
金属色 ゴールドクラウン
20Kの金合金を使った被せ物です。金は生体に優しい歯科素材として知られています。
10,000 110,000 120,000
土台(コア) ファイバーコア
歯根の中に入れる、グラスファイバー製の芯です。自然な白い歯に仕上がります。
5,000 27,500 32,500

各種制作物の治療内容、
およびリスクや副作用について

  • e-maxインレー
    ※治療内容:
    セラミック素材の一種であるe-maxを使用し、歯の形に合わせて詰め物を製作・装着します。透明感が高く、自然な歯の色調に近づけやすい素材です。
    ※特徴:
    ・天然歯に近い見た目で、口を開けても目立ちにくい仕上がりになります。
    ・金属を使用しないため、金属アレルギーの心配がありません。
    ・強い衝撃を受けると欠けたり割れたりする可能性があります。
  • ジルコニアインレー
    ※治療内容:
    高強度のジルコニアを使って、歯の状態に合わせた詰め物を製作・装着します。耐久性の高さが特徴の素材です。
    ※特徴:
    ・非常に強度が高く、噛む力が強い患者さんにも適しています。
    ・金属を使用しないため、見た目が自然でアレルギーの心配もありません。
    ・セラミックの中でも特に硬いため、強い衝撃が加わるとまれに欠ける場合があります。
  • ゴールドインレー
    ※治療内容:
    金の合金を用い、歯にぴったり合う詰め物を製作します。適合性が非常に高く、むし歯の再発リスクを抑えやすい素材です。
    ※特徴:
    ・しなやかな素材のため、噛み合わせに馴染みやすいのがメリットです。
    ・耐久性に優れ、長期にわたって使用できる点も特長です。
    ・金色のため、見た目の面では目立ちやすい素材です。
  • ホワイトクラウン
    ※治療内容:
    ホワイトクラウンという歯科素材を用い、歯全体を覆う被せ物を作製し装着します。2層構造になっている素材です。
    ※特徴:
    ・白く自然な見た目で、保険診療の材料よりも審美性が高まります。
    ・強度があり、前歯・奥歯のどちらにも使いやすい素材です。
    ・構造上、歯をやや多めに削る場合があります。
  • e-maxクラウン
    ※治療内容:
    セラミック素材のe-maxを用い、歯の形状に合わせて被せ物を製作・装着します。高い透明感と美しさが特徴です。
    ※特徴:
    ・ naturalで美しい仕上がりになり、審美性を重視する患者さんに適しています。
    ・金属を使用しないため、アレルギーの心配がありません。
    ・時間経過による変色がほとんどなく、長く美しさを保てます。
    ・強い力が加わる部位では破折の可能性があります。
  • ジルコニアクラウン
    ※治療内容:
    歯型を採り、ジルコニアを使用して被せ物を製作・装着します。非常に高い強度を持つ素材です。
    ※特徴:
    ・耐久性が高く、奥歯など噛む力が強くかかる部位にも適しています。
    ・白く自然な見た目で、金属アレルギーの心配もありません。
    ・金属を使わないため、歯ぐきの黒ずみが起こりにくい素材です。
  • ゴールドクラウン
    ※治療内容:
    金合金を使用し、歯の状態に合わせて被せ物を製作します。適合性が高く、治療後のトラブルを抑えやすい素材です。
    ※特徴:
    ・歯との馴染みがよく、長期間安定して使用できます。
    ・耐久性・適合性が高く、むし歯の再発リスクを抑えやすい素材です。
    ・金色のため、審美面では目立つ場合があります。
  • ファイバーコア
    ※治療内容:
    弱くなった歯根を補強するため、歯の内部にグラスファイバー製の土台を入れます。被せ物の土台として使用します。
    ※特徴:
    ・歯に近い硬さのため、歯根が割れにくいです。
    ・金属を使わないため、審美性に優れ、金属アレルギーの心配もありません。
    ・歯根がほとんど残っていない場合は適用できない場合があります。

ホームホワイトニング

歯を削らずに白くする方法として、当院ではホームホワイトニングを行っております。
院内にて歯の型をとり、患者様の専用トレーを作成します。
後日専用トレーとホワイトニングキットをお渡しし、お好きな時間帯にご自宅でホワイトニングを行って頂きます。
1~2週間で効果を実感できます。(保険適用外) お気軽にご相談ください。

  • 自由診療です。
  • 時間が経つと再び歯の色が戻ります。
  • 治療期間 約14日間、治療回数 約14回
  • 治療の流れ:オーダーメイドのマウスピースにホワイトニング剤を流し込んでいただき、毎日一定時間装着していただきます。
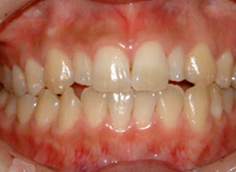
  • 術前

    術前

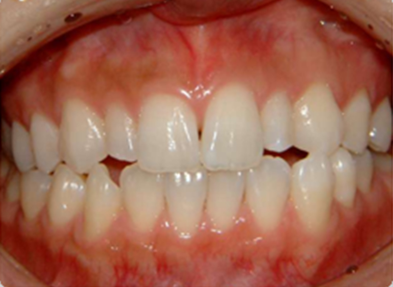
  • 術中(上のみホワイトニングを行った状態)

    術中

    (上のみホワイトニングを行った状態)

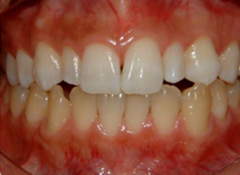
  • 術後(上、下ホワイトニングが終了した状態)

    術後

    (上、下ホワイトニングが終了した状態)

年齢 20代
症状 黄ばみが気になる
治療内容 ご自宅でマウスピースを
使ってホワイトニング
費用 33,000円
期間 2週間
治療回数 14回
デメリット 治療期間中一時的に
知覚過敏が
出ることがある

※横にスクロールしてご確認ください

制作物 金額(税込)
ホワイトニング ホームホワイトニング 33,000

ナチュラルデンチャー
(バネのない入れ歯)

入れ歯に金属のバネを使用しないため、大変審美性に優れています。
また、通常の入れ歯とは材質がちがい丈夫なため、薄く作成することができ、装着時の違和感が少ないです。
但し、ケースによっては適応しない場合もございます。お気軽にご相談ください。(保険適用外)

  • 自由診療です。
  • 使い続けるうちに歯ぐきを傷める可能性があります。
  • 治療期間 約2週間~1ヶ月、治療回数 約2~4回
  • 治療の流れ:お口の型取りを行い、それに合わせてナチュラルデンチャーを製作します。
  • ナチュラルデンチャー(バネのない入れ歯)
  • ナチュラルデンチャー(バネのない入れ歯)
  • ナチュラルデンチャー(バネのない入れ歯)

※横にスクロールしてご確認ください

制作物 形成・型取り 本体(税込) 総額(税込)
有床義歯 ソフトレジン床
柔らかい歯科素材「ソフトレジン」で作った床です。歯ぐきのピンク色に近い色をしており、自然な印象です。
10,000 220,000 230,000
金属床 コバルトクロム 10,000 220,000 230,000
チタン 10,000 270,000 280,000
ゴールド 10,000 378,000 388,000
ノンクラスプデンチャー
歯肉に接する箇所が歯肉に似た色合いとなっている入れ歯です。金属バネがついていないため自然に見えます。
片側 10,000 110,000 120,000
両側 10,000 220,000 230,000

各種制作物の治療内容、
およびリスクや副作用について

  • ソフトレジン床
    ※治療内容:お口の状態に合わせて、ソフトレジンで入れ歯の土台(床)を製作します。
    ※時間が経つと色が変化していきます。
  • ノンクラスプデンチャー
    ※治療内容:お口の状態に合わせて、歯ぐきに近いピンク色の樹脂で入れ歯を製作・装着します。

訪問歯科診療

訪問歯科診療

「歯や口腔のトラブルがあり診察を受けたい」「通院できればいいのだが、高齢や身体の不具合のために通院するのがむずかしい」…このようなかたのために、この地域で長年歯の健康に携わってきたひまわり歯科クリニックによる訪問歯科診療がスタートしています。歯科医師・歯科衛生士がご自宅まで訪問診療にうかがい、内容によってはご来院されるのとほぼ同等の医療サービスをご自宅でお受けになることができます。

診療時間 10:30~16:30
診療曜日 水曜日
診療料金 通常の健康保険・介護保険が適用される保険診療です。
交通費がかかる場合は別途いただきます。
対象範囲 当院から半径約16km以内が対象範囲です。